Smile Makeover

with Innovative Dental

#innovativepartner

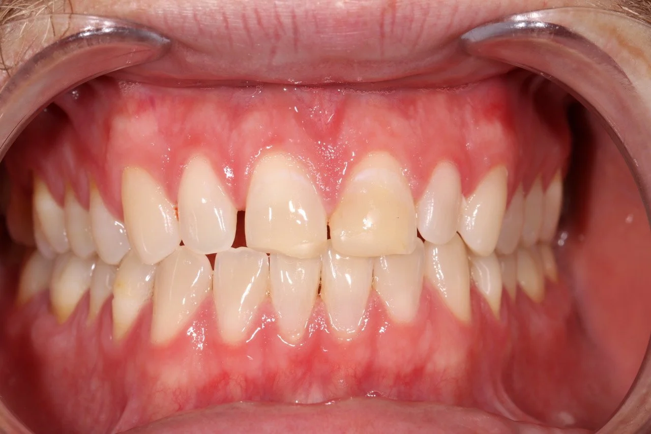
When Dan was younger he chipped his front teeth and had serious spacing issues due to undersized teeth. After doing the smile direct treatment he was still left wanting more out of his smile. His lateral teeth were smaller than desired and he was unable to get his teeth white even with multiple forms of whitening treatments. We knew that we had to seek professional help which led us to Innovative Dental.

Before:

“I was always self conscious of my smile. I noticed I would hide my teeth and wouldn’t smile as much.”

Dr. Megan numbed Dan’s mouth so he didn’t feel a thing. She did a scan of each tooth that she would later design and then got to work prepping each tooth to receive the veneers. This process took around an hour.

Prep the teeth

Design and Mill

After the teeth were prepped Dr. Megan designed Dan’s smile based on the scans she took before prepping. She showed us what his actual smile would look like and we were blown away! She advised us on the brightness she thought would fit his smile best, we agreed but were in disbelief that his smile was coming together. One by one each tooth was milled out of a block of porcelain. It was so cool to watch Dr. Megan’s design and the innovative technology come together to create a perfect smile. After milling, each tooth is baked and then polished to look more natural.

Apply the veneers

After doing a test fit, Dr. Megan applies a dental adhesive and places each tooth.

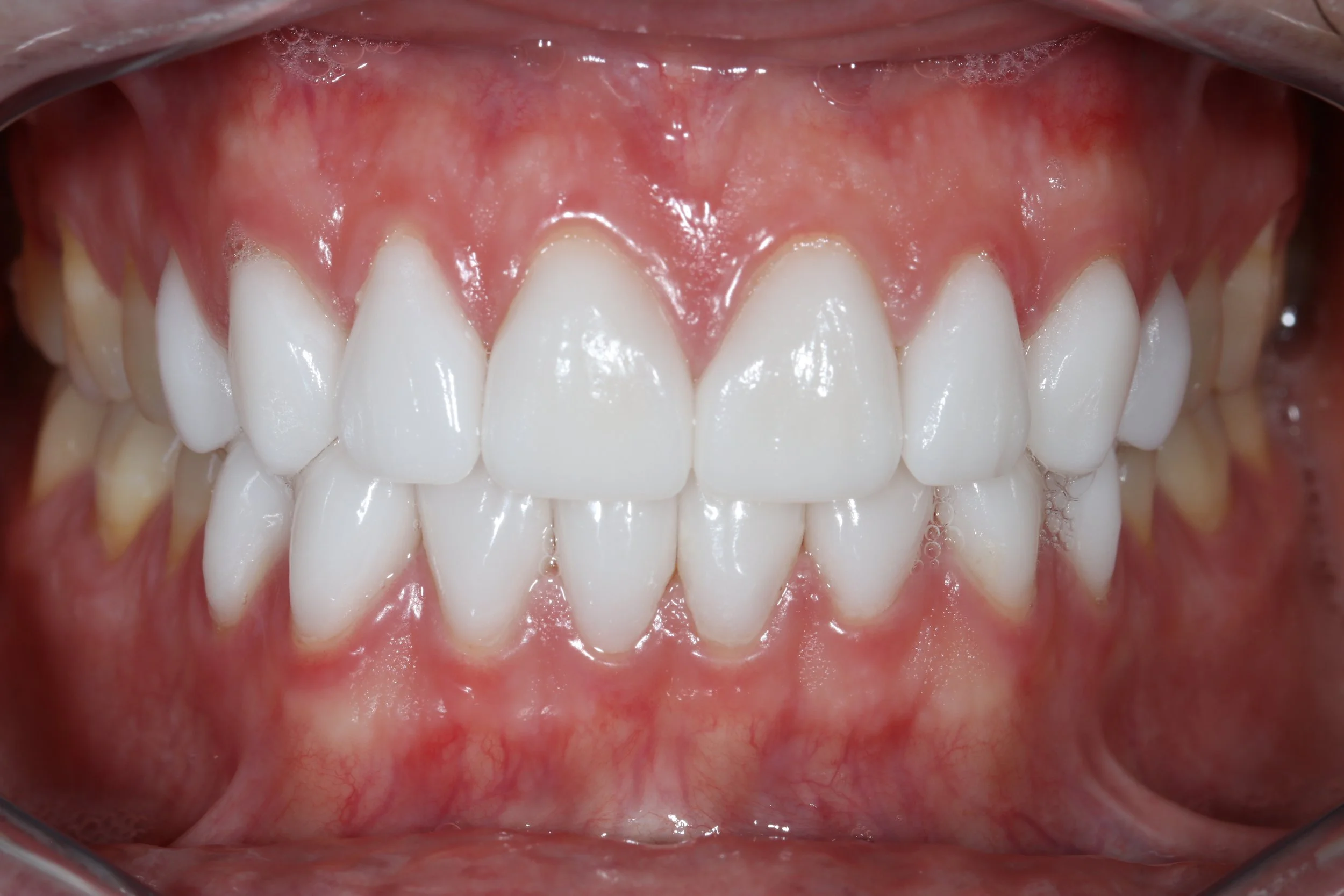
After:

“I feel so confident while having conversations and while on camera. It’s amazing how a smile can change your demeanor.”

We are beyond grateful for Dr. Megan and Innovative Dental for the amazing work they do. They are truly changing peoples lives one smile at a time! #idpartner

If you want a smile makeover reach out to Innovative Dental HERE to see how they can transform your smile! Even if you live out of state, fill out an inquiry form and they can do a virtual consultation with you to see what treatment plan is best!